O objetivo de uma biópsia é colher material de uma lesão ou de um órgão do corpo para ser avaliado por um médico especialista. Dessa forma, é possível obter informações precisas sobre a natureza das lesões ou o grau de comprometimento de um tecido por doenças.
A biópsia percutânea, isto é, através da pele, é realizada sem necessidade de cirurgia. A utilização de métodos de imagem para guiar esse tipo de procedimento é um avanço que permite que as biópsias sejam realizadas com grande precisão e com menor risco, podendo-se detectar precocemente eventuais complicações durante o exame. Além disso, o acesso percutâneo pode ser realizado sob anestesia local, o que evita maiores riscos anestésicos, facilita a recuperação após o procedimento e não deixa cicatrizes como em uma cirurgia.
Como é feito o exame?
A biópsia percutânea pode ser guiada por qualquer dos métodos de imagem como ultrassonografia, tomografia computadorizada, ressonância magnética e, no caso da mamografia, por estereotaxia. A escolha do método depende de vários fatores, entre eles, a facilidade de identificar o alvo, simplicidade, disponibilidade e menor custo. O procedimento é realizado com anestesia local, que "adormece" a pele e todo o trajeto por onde a agulha da biópsia irá passar. O procedimento tem duração variável, dependendo do tipo de equipamento utilizado e das características da lesão.
O paciente permanece deitado na mesa de exame e segue as orientações da equipe que realiza a biópsia. Todos os procedimentos são precedidos da desinfecção da pele de acordo com os protocolos estabelecidos.
O número de fragmentos colhidos também varia de acordo com o caso. Quando necessário obter um maior número de fragmentos, é utilizado um sistema auxiliar para a biópsia, chamado "coaxial". Ele permite que múltiplos fragmentos sejam obtidos sem a necessidade de várias passagens através da pele, evitando desconforto e tempo prolongado de exame.
TIPOS ESPECIAIS DE BIÓPSIA PERCUTÂNEA
Punção Aspirativa por Agulha Fina (PAAF)
Geralmente guiada por ultrassonografia, é utilizada principalmente em lesões da mama, tireoide e linfonodos.
Por intermédio deste procedimento é possível obter células de uma lesão que serão analisadas com o auxílio de um microscópio, pelo médico patologista. O exame é relativamente simples e rápido, quando realizado por médico treinado que, após realizar desinfecção da pele e anestesia local, introduz uma fina agulha até a lesão e aspira algumas células da região.
Tudo isso é feito com o controle preciso da ultrassonografia, em tempo real, para evitar complicações. Na sala de exame, o médico patologista confere o material para assegurar-se de que é suficiente para o diagnóstico e a análise exata é feita posteriormente.
Poucas são as complicações das punções por agulha fina. Pode ocorrer um pequeno hematoma local, tratado com aplicação de gelo. A maioria das reações, conduzidas com tranquilidade por nossa equipe, estão relacionadas à ansiedade com o procedimento e à resposta normal do organismo ao gesto.
Biópsia por Fragmento (CORE-BIOPSY)
A biópsia por fragmento ou core-biopsy, difere da PAAF no sentido de que neste procedimento são colhidos fragmentos de tecido ao invés de células. Também é um procedimento simples, porém um pouco mais invasivo do que a PAAF. Ele é utilizado quando a análise apenas das células de uma lesão ou órgão não é suficiente para diagnóstico, como ocorre em muitos casos de lesões mamárias, de próstata, órgãos abdominais, entre outros.
Para biópsias de estruturas superficiais, como é o caso da mama e linfonodos, a recuperação é rápida, podendo ocorrer um pequeno hematoma no local, tratado com aplicação de gelo e compressão. Para as biópsias prostáticas, hepáticas e abdominais, por exemplo, é necessário maior tempo de observação, além de repouso no dia da biópsia, pois eventuais sangramentos não são facilmente controlados apenas com compressão direta.
A core biopsy na mama pode ser feita guiada por ultrassonografia ou por estereotaxia digital, dependendo de por qual método a lesão é melhor identificada.
Fonte: Sonitec
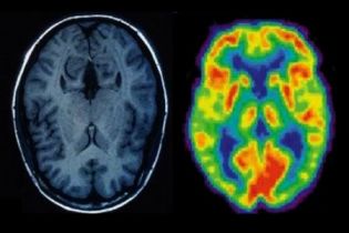
A cintilografia é um exame de diagnóstico que avalia a função e forma dos órgãos através de uma pequena quantidade de uma substância radioativa chamada de radiofármaco, que ao emitir radiações para as câmeras e computadores são transformadas em imagens coloridas, com contraste

As cintilografias mais frequentes são a cintilografia óssea, a cintilografia do miocárdio, a cintilografia renal, a cintilografia da tireoide, a cintilografia cerebral e a cintilografia pulmonar, que servem para diagnosticar câncer ou tipos de infecções, por exemplo.
O radiofármaco pode ser administrado através da ingestão de um medicamento via oral, por inalação ou injeção pela veia e não é prejudicial para o organismo.
Antes do exame, o médico poderá dizer quais os alimentos que pode ou não ingerir e os medicamentos que precisa ou não de suspender. Depois do exame deve-se beber muita água e outros líquidos, exceto bebidas alcoólicas, para eliminar mais rapidamente a substância radioativa do organismo e evitar o contato com grávidas e bebês 24 horas depois.
Para fazer a cintilografia deve-se vestir roupas largas e confortáveis, não se deve usar joias e deve-se levar sempre outros exames que tenha feito.
As grávidas e as mães que estejam amamentando devem consultar o médico antes de fazer o exame.
O resultado da cintilografia vem escrito num relatório que contém os locais do órgão com maior concentração do radiofármaco.
O exame de cintilografia normalmente dura 3-4 horas, mas pode demorar até 2 dias, como é o caso da cintilografia renal.
Fonte: Tua Saúde
Este método avalia a densidade mineral óssea (massa óssea), com o objetivo de diagnosticar precocemente a Osteoporose, que é uma doença prevenível e tratável. O seu valor mais importante consiste em determinar o risco de futuras fraturas principalmente na coluna lombar e fêmur, em pacientes com baixa massa óssea, e determinar o tipo de intervenção a ser feita. Além disso, através da Densitometria Óssea, pode-se fazer rastreamento em com massa óssea baixa, influenciando sobre o uso de terapia de mulheres com deficiência estrogênica e reposição hormonal.
A densitometria óssea é indicada para mulheres que se encontram na pré-menopausa, menopausa, pós-menopausa, em tratamento hormonal, ou de estrógenos ou tireoidianos, bem como que estão sob tratamento com corticosteroides e fármacos anticonvulsivantes.
Em crianças, este exame é indicado quando é necessário acompanhamento do desenvolvimento ósseo, em afecções osteometabólicas e, em certos casos de regime dietético para perda de peso.
Não se faz necessário nenhuma preparação prévia para o exame, como mudanças na dieta, ingestão de fármacos, entre outras, com exceção da ingestão de medicamentos que contenham cálcio. Estes últimos devem ser evitados por, no mínimo, 24 horas antes da realização do exame. Nos casos de suspeita de gravidez, a paciente deve comunicar ao médico.
O paciente não deve passar por exame de Medicina Nuclear por um período prévio de 72 horas e não poderá ter sido submetido a exame radiológico com uso de contraste, devendo esperar pelo menos 5 dias nesses casos.
Durante o procedimento, o paciente não pode usar vestimentas ou acessórios que contenham metais.
Fonte: InfoEscola
O ecocardiograma, também chamado de ecocardiografia, trata-se de um meio de diagnóstico não invasivo, utilizado para determinadas patologias cardíacas.

Este exame utiliza ondas de ultrassom para criar imagens do coração, fornecendo ao médico detalhes sobre o mesmo, como tamanho, forma e modo como as válvulas e câmaras estão trabalhando. Além disso, o ecocardiograma também é capaz de identificar se alguma área do músculo cardíaco não está funcionando adequadamente, em decorrência do baixo fluxo sanguíneo ou lesão resultante de ataques cardíacos prévios.
Esta forma de exame de diagnóstico é comumente utilizada na investigação de sopro cardíaco, na presença de palpitações, síncope, falta de ar, dor torácica, ou portadores de diferentes patologias cardíacas (infarto do miocárdio, insuficiência cardíaca, doença das válvulas, anomalias congênitas, entre outras).
Existe um tipo de ecocardiografia que utiliza ultrassom Doppler, capaz evidenciar o fluxo de sangue através das câmaras e válvulas cardíacas. Existem três modalidades de Doppler:
Existem diferentes modalidades de ecocardiografia, que são:
Fonte: InfoEscola
A ecografia ou ultrassonografia é um meio complementar de diagnóstico que utiliza as propriedades dos ultrassons, nomeadamente a sua reflexão nas estruturas do organismo, já que certas estruturas refletem mais ou menos os sons, enquanto outras (por exemplo a água) os deixam passar. É considerada totalmente inócua nas doses utilizadas em diagnóstico, embora noutras frequências os ultrassons sejam uma arma terapêutica, nomeadamente em fisioterapia.
A ecografia permite detectar lesões focais ou difusas em órgãos e estruturas parenquimatosas, como por exemplo no fígado, pâncreas, baço, rins, próstata, mama e tiroide, entre outras, e tem um papel fundamental na avaliação ginecológica (útero e ovários).
Avalia órgãos e estruturas em movimento e estuda a distensibilidade da parede dos vasos, observando placas de ateroma ou trombos, e, com o contributo do efeito Doppler, avalia e quantifica os fluxos, mede índices de resistência, quantifica estenoses, permitindo um grande avanço no estudo das carótidas e das artérias dos membros inferiores, bem como o estudo da insuficiência venosa dos membros inferiores (triplex venoso). Em ecocardiografia, este método faculta a observação dinâmica das paredes e das válvulas do coração, a avaliação de débitos, de fluxos regurgitantes, de estenoses e resistências, permitindo, de forma não invasiva, obter informações decisivas na avaliação cardíaca.
A ecografia é também muito utilizada na avaliação músculoesquelética, incluindo a patologia articular (joelho, ombro, tornozelo, etc.). É igualmente muito importante e conhecida a utilidade da ecografia no seguimento da gravidez, detectando precocemente anomalias funcionais e morfológicas do feto e na orientação de procedimentos de intervenção.
A utilização da ecografia para a orientação das citologias aspirativas e biópsias permite em simultâneo individualizar a lesão enquanto se controla em tempo real o movimento da agulha; reduz riscos e permite escolher a zona mais representativa da lesão, assim diminuindo o número de falsos negativos. É um procedimento frequente na tiroide e na mama, podendo ser dirigido a muitas outras estruturas. A biópsia da próstata é quase sempre guiada por ecografia. A colocação de sementes radiogénicas tem várias indicações, como em alguns casos de cancro da próstata. Outras indicações são a punção de coleções guiadas por ecografia para fins diagnósticos e terapêuticos (drenagens) e a colocação destes, por exemplo nas vias biliares.
No meio dos vários métodos de diagnóstico pela imagem, os grandes atributos da ecografia serão sempre a sua inocuidade e a sua grande acessibilidade, com grande valor na equação do benefício/custo, sem desconforto ou efeito nocivo para o paciente. Nas várias unidades do IMI são realizadas por dia várias centenas de ecografias, cobrindo os vários campos diagnósticos, à exceção da ecografia obstétrica.
Fonte: IMI
A mamografia é um exame de imagem, podendo ser compreendida como um Raio X das mamas. É considerado padrão ouro para detecção precoce do câncer de mama. No caso da mamografia digital, utilizada pela Clínica da Mama, os raios X atravessam a mama e atingem um detector que os transmite a um computador – enquanto que no método tradicional a imagem é impressa em um filme. A vantagem do exame digital é a qualidade gerada, de altíssima definição, que permite melhor visualização de mínimas alterações.
Quem Deve Fazer o Exame?
O exame é feito quando solicitado pelo médico assistente, com o especial objetivo de detectar precocemente tumores de mama.
A primeira mamografia deve ser realizada aos 35 anos e anualmente após os 40. Caso a mulher esteja enquadrada como alto risco para a doença, poderá iniciar o controle mais cedo. São consideradas mulheres de alto risco para a doença aquelas com um ou mais parentes de primeiro grau (mãe, irmã ou filha) com câncer de mama antes dos 50 anos; um ou mais parentes de primeiro grau com câncer de mama bilateral ou câncer de ovário; história familiar de câncer de mama masculino; lesão mamária proliferativa com atipia comprovada em biópsia.
Como é o Exame?
A paciente é posicionada em pé, próximo ao equipamento. As mamas serão, uma a uma, comprimidas pelo mamógrafo, horizontal e verticalmente. Embora seja desconfortável, o exame é rápido – sendo a mamografia digital ainda mais ágil que a convencional. Pacientes com próteses de silicone devem informar à equipe antes da realização da realização do exame.
Exige Preparo?
Para a realização do exame é necessário evitar o suo de creme, desodorante, perfume e talco, pois podem prejudicar a captação das imagens.
Exige Repouso?
Não, a paciente pode retomar suas atividades de rotina logo após o exame.
Há Contraindicações?
Por se tratar de um exame que utiliza Raios X, deve ser evitado durante o primeiro trimestre gestacional.
Fonte: Clinica da Mama

A radiografia é exame de imagem que utiliza raios X. Durante o procedimento, um feixe heterogêneo de raios X é produzido por um gerador e projetado sobre um objeto (a parte do corpo a ser examinada). A densidade e a composição de cada área determinam a quantidade de raios X absorvida. Os raios X que atravessam são capturados atrás do objeto por um detector (seja filme fotográfico ou detector digital). Dessa forma, é produzida uma representação em duas dimensões de todas as estruturas superpostas.
A tecnologia dos raios X permite que os médicos vejam através dos tecidos humanos e examinem, com grande facilidade, ossos quebrados, cavidades, além de tornar possível o diagnóstico de várias doenças. Os aparelhos são cada vez mais modernos e, com o desenvolvimento da radiologia digital, o método vem se aperfeiçoando e a dose de radiação recebida pelo paciente é reduzida. Além disso, as imagens são manipuladas em estações de trabalho computadorizadas, o que lhes garante uma melhor qualidade.
Como é feito o exame
O paciente e a máquina do exame são posicionados de acordo com o local do corpo que será examinado. O técnico que realiza o procedimento dá orientações ao paciente sobre o que fazer antes, durante e depois do registro da imagem. Isso porque algumas vezes é necessário respirar fundo, prender a respiração ou manter uma determinada posição por alguns segundos, para que se consiga o melhor registro possível. Os raios emitidos pela máquina não causam dor alguma. Eles passam através do corpo e “marcam” uma placa sensível, gerando a imagem do local desejado.
Preparo e Contraindicações
Dependendo do local do exame é necessário tirar a roupa e acessórios (brincos, piercings, relógio, etc.) que possam bloquear a passagem dos raios X e interferir na precisão do exame.
O procedimento não é recomendado para gestantes, porém, a critério médico, se o exame for necessário, deve ser informado ao técnico o estado de gravidez para receber a proteção adequada ao feto.
Fonte: Rádioclinica
A Ressonância Magnética é um exame que reproduz imagens de grande resolução e clareza de qualquer parte do interior do corpo humano. Este exame é totalmente indolor e não provoca nenhuma alteração. A imagem é reproduzida através de um equipamento de última geração que pode demonstrar com precisão lesões muito pequenas, com qualidade e em menor tempo.
O exame é uma técnica que consiste em posicionar o paciente no interior de um grande tubo aberto em ambas as extremidades, que emitirá sinais que serão captados e transformados em imagens por um computador. O exame dura cerca de 30 a 40 minutos dependendo da região a ser estudada. O único desconforto será o de permanecer deitado imóvel no centro do tubo por um período de tempo, e o exame produz ruído desagradável.
Se você desejar, poderá escutar música durante o exame. O tecnólogo responsável irá se comunicar com você durante toda a realização do exame.
A Ressonância Magnética não é recomendada caso você tenha algum metal em seu corpo como: marca-passo, implante eletrônico, grampo, fragmentos metálicos e próteses. Por favor, informe-nos se tiver realizado qualquer cirurgia ou possua algum objeto metálico em seu corpo. Em algumas situações especiais, será necessário a autorização prévia e por escrito do seu médico.
O paciente possui um papel fundamental para o sucesso do exame. Quanto mais tranquilo e relaxado estiver, maior será a probabilidade do resultado ser bem sucedido. Portanto, recomenda-se fechar os olhos e pensar em algo agradável. Caso seja necessário, a qualquer momento você poderá apertar campainha para se comunicar com o tecnólogo ou deve solicitar, previamente a permanência de um membro da família dentro da sala, durante a realização do exame. Você deve ficar imóvel e respeitar as solicitações feitas pelo tecnólogo responsável.
Você poderá ou não receber uma injeção (geralmente feita na veia da mão) de uma substância, chamada gadolínio, utilizada para aumentar a capacidade diagnóstica do exame. Essa medicação é segura e não costuma gerar efeitos indesejáveis na grande maioria dos pacientes.
A Ressonância Magnética não é recomendada caso você tenha algum metal em seu corpo como: marca-passo, implante eletrônico, grampo, fragmentos metálicos e próteses. Por favor, informe-nos se tiver realizado qualquer cirurgia ou possua algum objeto metálico em seu corpo. Em algumas situações especiais, será necessário a autorização prévia e por escrito do seu médico.
Não existe nenhuma preparação especial. Porém, você deve seguir rigorosamente as orientações dadas no momento da marcação do exame pois, em alguns casos, é necessário que se faça jejum ou apenas uma dieta leve. Certifique-se de que não possui nenhum metal em seu corpo, retire relógios, brincos, colares, correntes assim como qualquer objeto de metal do seu cabelo ou roupa. Poderá ser solicitado que você vista um roupão hospitalar.
Permaneça tranquilo e atenda todas as solicitações do tecnólogo responsável durante a realização do exame.
É um método que, utilizando-se dos Rx e de uma aparelhagem complexa acionada por computadores de alta tecnologia, consegue obter imagens através de fatias de espessuras variáveis com impressionantes detalhes das diversas partes do corpo. Além disso, o computador também é capaz de juntar, posteriormente, as imagens dessas diversas fatias e reconstruir o órgão por completo, inclusive em 3 dimensões.
Este método foi idealizado pelo físico Sir. Godfrey N. Hounsfield (1919 a 2004), natural de Nottinghanshire – Inglaterra, que recebeu o prêmio Nobel por seu invento o qual propiciou grande avanço à medicina. Seu espírito de pesquisador também propiciou estímulo inestimável para a pesquisa científica em um ambiente extremamente favorável para o surgimento, posterior, de outros grandes métodos de diagnósticos, incluindo-se as imagens por ressonância magnética.
A Tomografia Computadorizada Multislice representa uma grande evolução em relação a Tomografia Computadorizada convencional. Seu grande diferencial consiste na aquisição de imagens com espessuras submilimétricas no plano axial e a reconstrução dessa imagens nos outros planos: sargital, coronal ou 3D.
O objetivo de uma biópsia é colher material de uma lesão ou de um órgão do corpo para ser avaliado por um médico especialista. Dessa forma, é possível obter informações precisas sobre a natureza das lesões ou o grau de comprometimento de um tecido por doenças.
A biópsia percutânea, isto é, através da pele, é realizada sem necessidade de cirurgia. A utilização de métodos de imagem para guiar esse tipo de procedimento é um avanço que permite que as biópsias sejam realizadas com grande precisão e com menor risco, podendo-se detectar precocemente eventuais complicações durante o exame. Além disso, o acesso percutâneo pode ser realizado sob anestesia local, o que evita maiores riscos anestésicos, facilita a recuperação após o procedimento e não deixa cicatrizes como em uma cirurgia.
Como é feito o exame?
A biópsia percutânea pode ser guiada por qualquer dos métodos de imagem como ultrassonografia, tomografia computadorizada, ressonância magnética e, no caso da mamografia, por estereotaxia. A escolha do método depende de vários fatores, entre eles, a facilidade de identificar o alvo, simplicidade, disponibilidade e menor custo. O procedimento é realizado com anestesia local, que "adormece" a pele e todo o trajeto por onde a agulha da biópsia irá passar. O procedimento tem duração variável, dependendo do tipo de equipamento utilizado e das características da lesão.
O paciente permanece deitado na mesa de exame e segue as orientações da equipe que realiza a biópsia. Todos os procedimentos são precedidos da desinfecção da pele de acordo com os protocolos estabelecidos.
O número de fragmentos colhidos também varia de acordo com o caso. Quando necessário obter um maior número de fragmentos,é utilizado um sistema auxiliar para a biópsia, chamado "coaxial". Ele permite que múltiplos fragmentos sejam obtidos sem a necessidade de várias passagens através da pele, evitando desconforto e tempo prolongado de exame.
TIPOS ESPECIAIS DE BIÓPSIA PERCUTÂNEA
Punção Aspirativa por Agulha Fina (PAAF)
Geralmente guiada por ultrassonografia, é utilizada principalmente em lesões da mama, tireoide e linfonodos.
Por intermédio deste procedimento é possível obter células de uma lesão que serão analisadas com o auxílio de um microscópio, pelo médico patologista. O exame é relativamente simples e rápido, quando realizado por médico treinado que, após realizar desinfecção da pele e anestesia local, introduz uma fina agulha até a lesão e aspira algumas células da região.
Tudo isso é feito com o controle preciso da ultrassonografia, em tempo real, para evitar complicações. Na sala de exame, o médico patologista confere o material para assegurar-se de que é suficiente para o diagnóstico e a análise exata é feita posteriormente.
Poucas são as complicações das punções por agulha fina. Pode ocorrer um pequeno hematoma local, tratado com aplicação de gelo. A maioria das reações, conduzidas com tranquilidade por nossa equipe, estão relacionadas à ansiedade com o procedimento e à resposta normal do organismo ao gesto.
Biópsia por Fragmento (CORE-BIOPSY)
A biópsia por fragmento ou core-biopsy, difere da PAAF no sentido de que neste procedimento são colhidos fragmentos de tecido ao invés de células. Também é um procedimento simples, porém um pouco mais invasivo do que a PAAF. Ele é utilizado quando a análise apenas das células de uma lesão ou órgão não é suficiente para diagnóstico, como ocorre em muitos casos de lesões mamárias, de próstata, órgãos abdominais, entre outros.
Para biópsias de estruturas superficiais, como é o caso da mama e linfonodos, a recuperação é rápida, podendo ocorrer um pequeno hematoma no local, tratado com aplicação de gelo e compressão. Para as biópsias prostáticas, hepáticas e abdominais, por exemplo, é necessário maior tempo de observação, além de repouso no dia da biópsia, pois eventuais sangramentos não são facilmente controlados apenas com compressão direta.
A core biopsy na mama pode ser feita guiada por ultrassonografia ou por estereotaxia digital, dependendo de por qual método a lesão é melhor identificada.
Fonte: Sonitec
A cintilografia é um exame de diagnóstico que avalia a função e forma dos órgãos através de uma pequena quantidade de uma substância radioativa chamada de radiofármaco, que ao emitir radiações para as câmeras e computadores são transformadas em imagens coloridas, com contraste
As cintilografias mais frequentes são a cintilografia óssea, a cintilografia do miocárdio, a cintilografia renal, a cintilografia da tireoi
de, a cintilografia cerebral e a cintilografia pulmonar, que servem para diagnosticar câncer ou tipos de infecções, por exemplo.
O radiofármaco pode ser administrado através da ingestão de um medicamento via oral, por inalação ou injeção pela veia e não é prejudicial para o organismo.
Antes do exame, o médico poderá dizer quais os alimentos que pode ou não ingerir e os medicamentos que precisa ou não de suspender. Depois do exame deve-se beber muita água e outros líquidos, exceto bebidas alcoólicas, para eliminar mais rapidamente a substância radioativa do organismo e evitar o contato com grávidas e bebês 24 horas depois.
Para fazer a cintilografia deve-se vestir roupas largas e confortáveis, não se deve usar joias e deve-se levar sempre outros exames que tenha feito.
As grávidas e as mães que estejam amamentando devem consultar o médico antes de fazer o exame.
O resultado da cintilografia vem escrito num relatório que contém os locais do órgão com maior concentração do radiofármaco.
O exame de cintilografia normalmente dura 3-4 horas, mas pode demorar até 2 dias, como é o caso da cintilografia renal.
Fonte: Tua Saúde
Este método avalia a densidade mineral óssea (massa óssea), com o objetivo de diagnosticar precocemente a Osteoporose, que é uma doença prevenível e tratável. O seu valor mais importante consiste em determinar o risco de futuras fraturas principalmente na coluna lombar e fêmur, em pacientes com baixa massa óssea, e determinar o tipo de intervenção a ser feita. Além disso, através da Densitometria Óssea, pode-se fazer rastreamento em com massa óssea baixa, influenciando sobre o uso de terapia de mulheres com deficiência estrogênica e reposição hormonal.
A densitometria óssea é indicada para mulheres que se encontram na pré-menopausa, menopausa, pós-menopausa, em tratamento hormonal, ou de estrógenos ou tireoidianos, bem como que estão sob tratamento com corticosteroides e fármacos anticonvulsivantes.
Em crianças, este exame é indicado quando é necessário acompanhamento do desenvolvimento ósseo, em afecções osteometabólicas e, em certos casos de regime dietético para perda de peso.
Não se faz necessário nenhuma preparação prévia para o exame, como mudanças na dieta, ingestão de fármacos, entre outras, com exceção da ingestão de medicamentos que contenham cálcio. Estes últimos devem ser evitados por, no mínimo, 24 horas antes da realização do exame. Nos casos de suspeita de gravidez, a paciente deve comunicar ao médico.
O paciente não deve passar por exame de Medicina Nuclear por um período prévio de 72 horas e não poderá ter sido submetido a exame radiológico com uso de contraste, devendo esperar pelo menos 5 dias nesses casos.
Durante o procedimento, o paciente não pode usar vestimentas ou acessórios que contenham metais.
Fonte: InfoEscola
A ecografia ou ultrassonografia é um meio complementar de diagnóstico que utiliza as propriedades dos ultrassons, nomeadamente a sua reflexão nas estruturas do organismo, já que certas estruturas refletem mais ou menos os sons, enquanto outras (por exemplo a água) os deixam passar. É considerada totalmente inócua nas doses utilizadas em diagnóstico, embora noutras frequências os ultrassons sejam uma arma terapêutica, nomeadamente em fisioterapia.
A ecografia permite detectar lesões focais ou difusas em órgãos e estruturas parenquimatosas, como por exemplo no fígado, pâncreas, baço, rins, próstata, mama e tiroide, entre outras, e tem um papel fundamental na avaliação ginecológica (útero e ovários).
Avalia órgãos e estruturas em movimento e estuda a distensibilidade da parede dos vasos, observando placas de ateroma ou trombos, e, com o contributo do efeito Doppler, avalia e quantifica os fluxos, mede índices de resistência, quantifica estenoses, permitindo um grande avanço no estudo das carótidas e das artérias dos membros inferiores, bem como o estudo da insuficiência venosa dos membros inferiores (triplex venoso). Em ecocardiografia, este método faculta a observação dinâmica das paredes e das válvulas do coração, a avaliação de débitos, de fluxos regurgitantes, de estenoses e resistências, permitindo, de forma não invasiva, obter informações decisivas na avaliação cardíaca.
A ecografia é também muito utilizada na avaliação músculoesquelética, incluindo a patologia articular (joelho, ombro, tornozelo, etc.). É igualmente muito importante e conhecida a utilidade da ecografia no seguimento da gravidez, detectando precocemente anomalias funcionais e morfológicas do feto e na orientação de procedimentos de intervenção.
A utilização da ecografia para a orientação das citologias aspirativas e biópsias permite em simultâneo individualizar a lesão enquanto se controla em tempo real o movimento da agulha; reduz riscos e permite escolher a zona mais representativa da lesão, assim diminuindo o número de falsos negativos. É um procedimento frequente na tiroide e na mama, podendo ser dirigido a muitas outras estruturas. A biópsia da próstata é quase sempre guiada por ecografia. A colocação de sementes radiogénicas tem várias indicações, como em alguns casos de cancro da próstata. Outras indicações são a punção de coleções guiadas por ecografia para fins diagnósticos e terapêuticos (drenagens) e a colocação destes, por exemplo nas vias biliares.
No meio dos vários métodos de diagnóstico pela imagem, os grandes atributos da ecografia serão sempre a sua inocuidade e a sua grande acessibilidade, com grande valor na equação do benefício/custo, sem desconforto ou efeito nocivo para o paciente. Nas várias unidades do IMI são realizadas por dia várias centenas de ecografias, cobrindo os vários campos diagnósticos, à exceção da ecografia obstétrica.
Fonte: IMI
A mamografia é um exame de imagem, podendo ser compreendida como um Raio X das mamas. É considerado padrão ouro para detecção precoce do câncer de mama. No caso da mamografia digital, utilizada pela Clínica da Mama, os raios X atravessam a mama e atingem um detector que os transmite a um computador – enquanto que no método tradicional a imagem é impressa em um filme. A vantagem do exame digital é a qualidade gerada, de altíssima definição, que permite melhor visualização de mínimas alterações.
Quem Deve Fazer o Exame?
O exame é feito quando solicitado pelo médico assistente, com o especial objetivo de detectar precocemente tumores de mama.
A primeira mamografia deve ser realizada aos 35 anos e anualmente após os 40. Caso a mulher esteja enquadrada como alto risco para a doença, poderá iniciar o controle mais cedo. São consideradas mulheres de alto risco para a doença aquelas com um ou mais parentes de primeiro grau (mãe, irmã ou filha) com câncer de mama antes dos 50 anos; um ou mais parentes de primeiro grau com câncer de mama bilateral ou câncer de ovário; história familiar de câncer de mama masculino; lesão mamária proliferativa com atipia comprovada em biópsia.
Como é o Exame?
A paciente é posicionada em pé, próximo ao equipamento. As mamas serão, uma a uma, comprimidas pelo mamógrafo, horizontal e verticalmente. Embora seja desconfortável, o exame é rápido – sendo a mamografia digital ainda mais ágil que a convencional. Pacientes com próteses de silicone devem informar à equipe antes da realização da realização do exame.
Exige Preparo?
Para a realização do exame é necessário evitar o suo de creme, desodorante, perfume e talco, pois podem prejudicar a captação das imagens.
Exige Repouso?
Não, a paciente pode retomar suas atividades de rotina logo após o exame.
Há Contraindicações?
Por se tratar de um exame que utiliza Raios X, deve ser evitado durante o primeiro trimestre gestacional.
Fonte: Clinica da Mama
A radiografia é exame de imagem que utiliza raios X. Durante o procedimento, um feixe heterogêneo de raios X é produzido por um gerador e projetado sobre um objeto (a parte do corpo a ser examinada). A densidade e a composição de cada área determinam a quantidade de raios X absorvida. Os raios X que atravessam são capturados atrás do objeto por um detector (seja filme fotográfico ou detector digital). Dessa forma, é produzida uma representação em duas dimensões de todas as estruturas superpostas.
A tecnologia dos raios X permite que os médicos vejam através dos tecidos humanos e examinem, com grande facilidade, ossos quebrados, cavidades, além de tornar possível o diagnóstico de várias doenças. Os aparelhos são cada vez mais modernos e, com o desenvolvimento da radiologia digital, o método vem se aperfeiçoando e a dose de radiação recebida pelo paciente é reduzida. Além disso, as imagens são manipuladas em estações de trabalho computadorizadas, o que lhes garante uma melhor qualidade.
Como é feito o exame
O paciente e a máquina do exame são posicionados de acordo com o local do corpo que será examinado. O técnico que realiza o procedimento dá orientações ao paciente sobre o que fazer antes, durante e depois do registro da imagem. Isso porque algumas vezes é necessário respirar fundo, prender a respiração ou manter uma determinada posição por alguns segundos, para que se consiga o melhor registro possível. Os raios emitidos pela máquina não causam dor alguma. Eles passam através do corpo e “marcam” uma placa sensível, gerando a imagem do local desejado.
Preparo e Contraindicações
Dependendo do local do exame é necessário tirar a roupa e acessórios (brincos, piercings, relógio, etc.) que possam bloquear a passagem dos raios X e interferir na precisão do exame.
O procedimento não é recomendado para gestantes, porém, a critério médico, se o exame for necessário, deve ser informado ao técnico o estado de gravidez para receber a proteção adequada ao feto.
Fonte: Rádioclinica
A Ressonância Magnética é um exame que reproduz imagens de grande resolução e clareza de qualquer parte do interior do corpo humano. Este exame é totalmente indolor e não provoca nenhuma alteração. A imagem é reproduzida através de um equipamento de última geração que pode demonstrar com precisão lesões muito pequenas, com qualidade e em menor tempo.
O exame é uma técnica que consiste em posicionar o paciente no interior de um grande tubo aberto em ambas as extremidades, que emitirá sinais que serão captados e transformados em imagens por um computador. O exame dura cerca de 30 a 40 minutos dependendo da região a ser estudada. O único desconforto será o de permanecer deitado imóvel no centro do tubo por um período de tempo, e o exame produz ruído desagradável.
Se você desejar, poderá escutar música durante o exame. O tecnólogo responsável irá se comunicar com você durante toda a realização do exame.
A Ressonância Magnética não é recomendada caso você tenha algum metal em seu corpo como: marca-passo, implante eletrônico, grampo, fragmentos metálicos e próteses. Por favor, informe-nos se tiver realizado qualquer cirurgia ou possua algum objeto metálico em seu corpo. Em algumas situações especiais, será necessário a autorização prévia e por escrito do seu médico.
O paciente possui um papel fundamental para o sucesso do exame. Quanto mais tranquilo e relaxado estiver, maior será a probabilidade do resultado ser bem sucedido. Portanto, recomenda-se fechar os olhos e pensar em algo agradável. Caso seja necessário, a qualquer momento você poderá apertar campainha para se comunicar com o tecnólogo ou deve solicitar, previamente a permanência de um membro da família dentro da sala, durante a realização do exame. Você deve ficar imóvel e respeitar as solicitações feitas pelo tecnólogo responsável.
Você poderá ou não receber uma injeção (geralmente feita na veia da mão) de uma substância, chamada gadolínio, utilizada para aumentar a capacidade diagnóstica do exame. Essa medicação é segura e não costuma gerar efeitos indesejáveis na grande maioria dos pacientes.
A Ressonância Magnética não é recomendada caso você tenha algum metal em seu corpo como: marca-passo, implante eletrônico, grampo, fragmentos metálicos e próteses. Por favor, informe-nos se tiver realizado qualquer cirurgia ou possua algum objeto metálico em seu corpo. Em algumas situações especiais, será necessário a autorização prévia e por escrito do seu médico.
Não existe nenhuma preparação especial. Porém, você deve seguir rigorosamente as orientações dadas no momento da marcação do exame pois, em alguns casos, é necessário que se faça jejum ou apenas uma dieta leve. Certifique-se de que não possui nenhum metal em seu corpo, retire relógios, brincos, colares, correntes assim como qualquer objeto de metal do seu cabelo ou roupa. Poderá ser solicitado que você vista um roupão hospitalar.
Permaneça tranquilo e atenda todas as solicitações do tecnólogo responsável durante a realização do exame.
É um método que, utilizando-se dos Rx e de uma aparelhagem complexa acionada por computadores de alta tecnologia, consegue obter imagens através de fatias de espessuras variáveis com impressionantes detalhes das diversas partes do corpo. Além disso, o computador também é capaz de juntar, posteriormente, as imagens dessas diversas fatias e reconstruir o órgão por completo, inclusive em 3 dimensões.
Este método foi idealizado pelo físico Sir. Godfrey N. Hounsfield (1919 a 2004), natural de Nottinghanshire – Inglaterra, que recebeu o prêmio Nobel por seu invento o qual propiciou grande avanço à medicina. Seu espírito de pesquisador também propiciou estímulo inestimável para a pesquisa científica em um ambiente extremamente favorável para o surgimento, posterior, de outros grandes métodos de diagnósticos, incluindo-se as imagens por ressonância magnética.
A Tomografia Computadorizada Multislice representa uma grande evolução em relação a Tomografia Computadorizada convencional. Seu grande diferencial consiste na aquisição de imagens com espessuras submilimétricas no plano axial e a reconstrução dessa imagens nos outros planos: sargital, coronal ou 3D.